Имплантация и протезирование зубов
Комплексная работа наших специалистов по созданию красивой улыбки нашему пациенту.
Пациент обратился к нам с болями в области уже ранее пролеченного (в другой клинике) зуба и желанием сделать улыбку "ровной и белоснежной". После консультации был составлен план лечения, который включал в себя эндодонтическое лечение (распломбировка и пломбировка каналов) и последующее протезирование с установкой виниров в зону улыбки и коронок из диоксида циркония в области жевательных зубов.
После приживления имплантата мы приступили к этапу протезирования и моделировки будущей улыбки. Так как работа затрагивает всю зону улыбки, то мы в обязательном порядке проводим восковое моделирование улыбки (Wax-Up) с последующей "примеркой" на зубах (Mock-Up) и уже на этом этапе врач, зубной техник и пациент могут представить результат будущей работы, учесть все пожелания пациента и внести корректировки.
На этапе протезирования на передние зубы были установлены керамические виниры, а на жевательные - коронки из диоксида циркония.
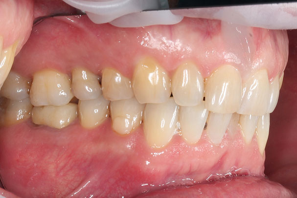
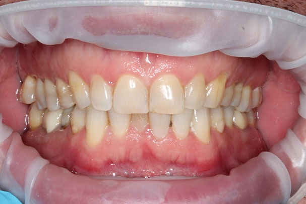
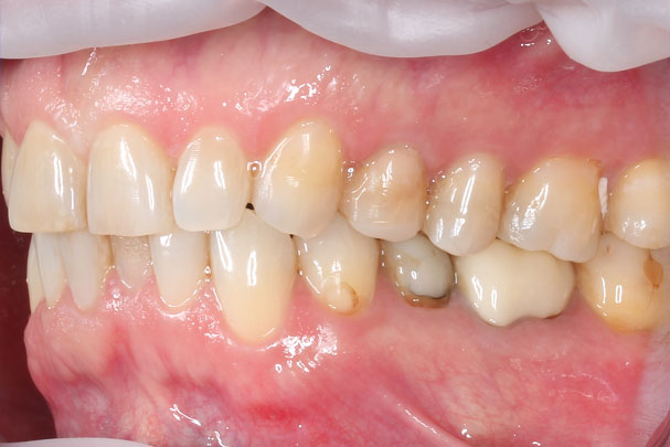
Улыбка счастливого пациента до и после лечения в клинике АГАМИ - на фото.
В ходе обследования было обнаружено отсутствие одного зуба и необходимость ортодонтического лечения с целью подготовки к имплантации и протезированию. Стоматолог-ортодонт выявил у пациентки скученность зубов верхней и нижней челюсти и повышенную стираемость зубов (бруксизм). Лечение было назначено на брекет-системе BIOQUICK. Перед ортодонтическими процедурами была проведена санация полости рта. Также на этапе ортодонтии наши врачи установили имплантат и приступили к этапу протезирования.
Было установлено 8 виниров в зоне улыбки: 4 винира на верхние и 4 винира на нижние зубы. Композитом мы восстановили клыковые ведения, установили коронку на имплантат 36 и коронки на зубы 45 и 46.
Пациент остался доволен новой улыбкой!
Было принято решение для улучшения линии улыбки установить виниры на рефракторе с 15 по 25 зуб. Сняты слепки, а на время изготовления виниров, зубы были покрыты временными реставрациями. Осуществлена фиксация 10 виниров на верхней челюсти, после которой можно наблюдать тотальное изменение линии улыбки. Гармоничное сочетание формы, цвета, длины и наклона зубов. Пациентка довольна полученным результатом лечения.
Пациенту было проведено протезирование зубов на имплантатах, протезирование на собственных зубах и установка виниров на передние зубы. Пациент остался очень доволен полученным результатом, улыбка изменилась до неузнаваемости.
Результат лечения - изменение улыбки с помощью 6 тонких керамических реставраций (виниров).
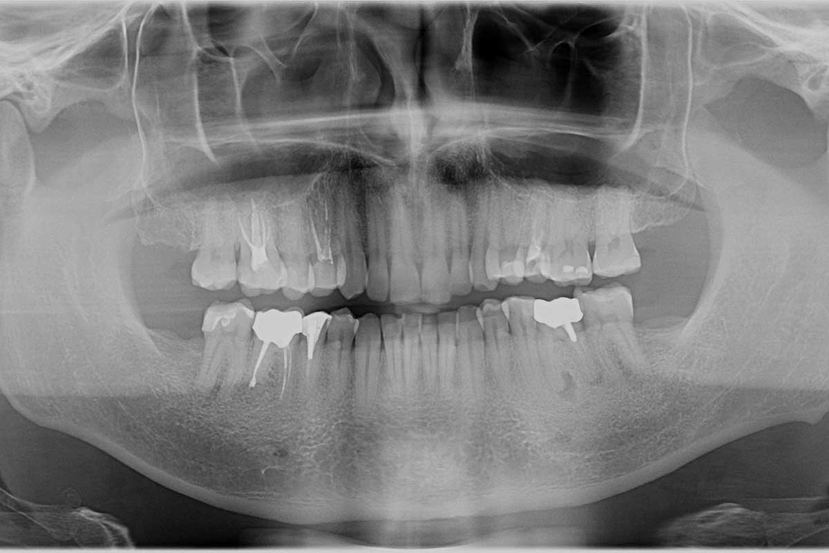
Панорамные снимки зубов до и после лечения
Пациент остался очень доволен полученным результатом, улыбка изменилась до неузнаваемости.
Первым этапом, как всегда, назначается профессиональная гигиена полости рта. После нее картина в полости рта становится "понятнее" - например, видны даже маленькие пятна кариеса на зубах ,которые невозможно увидеть под зубными отложениями и наоборот, некоторые пятна "убираются" с помощью гигиены.
- Проведено удаление зубов на нижней челюсти и имплантация 32,34,36,42,44,46 зубов с одномоментной нагрузкой на 6-и имплантатах.
- Установлен временный протез на нижней челюсти с опорой на имплантаты.
- Имплантация зубов
- Остеопластика
- Полное протезирование безметалловыми коронками из диоксида циркония
- Установка керамических вкладок
- Установка виниров
- Протезирование зубов
- Протезирование 8 передних зубов на верхней челюсти коронками
- Двусторонний синуслифтинг
- Установка имплантатов
- Протезирование металлокерамическими коронками и коронками из диоксида циркония




- Тотальная реконструкция обоих зубных рядов на имплантатах
- Двусторонний открытый синус-лифтинг
- Протезирование
- 6 тонких керамических реставраций (виниров)
- Синуслифтинг
- Остеопластика
- Протезирование
- Установка 10-ти имплантатов




- Удаление опорных зубов вместе с металлокерамическим мостом
- Протезирование металлокерамическими коронками
- Установка протеза на 4 имплантах
- Моделировка зубов на воске
- Временное протезирование
- Постоянное протезирование
- Установка виниров Emax на фронтальные зубы верхней и нижней челюсти
- Установка имплантатов
- Протезирование коронками из диоксида циркония
- Комплексная реабилитация с установкой имплантатов и коронок из оксида циркония и керамики E.max
- Остеопластика
- Синуслифтинг
- Установка имплантатов в области жевательных зубов
- Передние зубы, которые подлежали удалению, были заменены на ортопедическую конструкцию на имплантатах




- Восковое моделирование улыбки
- Установка виниров на рефракторе с 15 по 25 зуб




- Протезирование 12-ти зубов на верхней челюсти безметалловыми коронками E.max
- Предварительное восковое моделирование улыбки




- Изготовление и установка четырех ультратонких виниров на зубы верхней челюсти
- Установка имплантатов
- Временное протезирование
- Пластика мягких тканей
- Установка коронок
- Лечение на брекет-системе BIOQUICK
- Проведена санация полости рта
- Установка имплантата
- Протезирование
- Установка виниров
- Установка коронок
- Восковое моделирование
- Протезирование керамическими коронками E.Max