Работы
С 2015 года мы собрали большой архив фотографий выполненных работ. На сайте представлена лишь их малая часть по разным направлениям, которая позволяет оценить высокий уровень проводимого лечения.
— Михаил Борисович Агами, главный врач
Найдено работ: 40
-
Имплантация зубов All-on-6Лечение- Проведено удаление зубов на нижней челюсти и имплантация 32,34,36,42,44,46 зубов с одномоментной нагрузкой на 6-и имплантатах.
- Установлен временный протез на нижней челюсти с опорой на имплантаты.
-
Протезирование зубовБыло: Жалоба на эстетикуЛечение
- Проведена реабилитации зоны улыбки
- Моделировка дизайна улыбки
- Перенос дизайна (Mock Up)
- Коррекция по запросу пациента и после согласования формы и цвета произведена замена на 12 виниров
Длительность лечения — 3 месяца -
Имплантация и протезированиеБыло: Чувствительность зубов при приёме горячей и холодной пищи. Не удовлетворительная эстетика улыбки.Лечение- Проведено цифровое планирование улыбки.
- Изготовлен Mock Up формы зубов. Форма и цвет виниров согласована с пациентом .
- Изготовлен Moc up формы зубов. Форма и цвет виниров согласована с пациентом .
- Установлены керамические виниры e-max
Длительность лечения — 14 дней -
Имплантация и протезированиеБыло: Отсутствие зубов, Затруднённое пережевывание пищи . Эстетическиё дефект улыбки.Лечение- Временное протезирование верхней и нижней челюсти несъёмными мостовидными композитными протезами винтового типа фиксации. В положение центрального соотношения челюстей.
- Постоянное протезирование верхней и нижней челюсти несъёмными мостовидными протезами из диоксида циркония комбинированной фиксации.
Длительность лечения — 5 месяцев -
Имплантация и протезированиеБыло: Отсутствие зубов, Затруднённое пережевывание пищи . Эстетические дефект улыбкиЛечение
- Временное протезирование верхней и нижней челюсти не съёмными мостовидными композитными протезами , винтового типа фиксации. В положение центрального соотношения челюстей.
- Постоянное протезирование верхней и нижней челюсти не съёмными мостовидными протезами из виоксида циркония , комбинированного фиксации.
Длительность лечения — 5 месяцев -
Имплантация и протезированиеБыло: Жалобы на боль во время приема пищи, на отсутствие эстетики, невозможность пережевывать пищу и улыбаться.Лечение
- Лечение по протоколу all-on-6 верхняя и нижняя челюсть.
- Цифровое планирование+ виртуальное моделирование зубов -1 день.
- Временное протезирование- сразу в операционной.
- Постоянное протезирование- через 4 месяца после установки имплантатов.
- Лечение проведено в седации (медикаментозный сон)
Длительность лечения — 5 месяцев -
Имплантация и протезированиеБыло: Жалобы на отсутствие зубов, невозможность пережевывать пищу и улыбаться.Лечение
- Лечение по протоколу all-on-6 на нижней челюсти + цифровой съемный протез на верхней челюсти.
- Цифровое планирование+ виртуальное моделирование зубов -1 день.
- Временное протезирование- сразу в операционной.
- Постоянное протезирование- через 4 месяца после установки имплантатов.
Длительность лечения — 5 месяцев -
Имплантация и протезированиеБыло: Жалобы на неудовлетворительную эстетику, невозможность улыбаться, боль на прикосновение и прием пищи.Лечение
- Лечение по протоколу all-on-6 верхняя челюсть + композитные реставрации не а нижней челюсти.
- Цифровое планирование + виртуальное моделирование зубов -1 день.
- Временное протезирование - сразу в операционной.
- Постоянное протезирование- через 4 месяца после установки имплантатов.
Длительность лечения — 5 месяцев -
Протезирование зубовБыло: Жалобы на щелчки в суставе, эстетику и поломка старых коронок, отсутствие Зубов в жевательной группеЛечение- Проведена кондилография и комплексная реабилитация пациента с установкой имплантатов и протезированием их и на своих зубах
- Изготовлено 28 керамических реставраций (коронки /накладки/виниры/коронки на имплантатах)
- После согласования всех деталей с пациентов, произведена замена на 28 керамических реставраций (накладки\виниры)
Длительность лечения — 13 месяцев -
Восстановление зубных рядовБыло: жалобы на подвижность зубов (пародонтит).Лечение
- Удаление подвижных зубов с сохранением нескольких зубов (для фиксации протеза)
- Синуслифтинг и имплантация зубов. На время приживления изготовлен временный протез с фиксацией на оставшиеся зубы, чтобы пациент не испытывал дискомфорта.
- Удаление оставшихся зубов
- Протезирование металлокерамическими коронками
Длительность лечения — 11 месяцев -
Протезирование зубовБыло: Стертые зубы (эстетика) и головная больЛечение- Проведен большой функциональный анализ
- Изготовлена моделировка будущей формы зубов и улыбки
- Произведен перенос Макета будущей улыбки (Mock Up)
- После согласования всех деталей с пациентов, произведена замена на 28 керамических реставраций (накладки\виниры)
Длительность лечения — 8 месяцев -
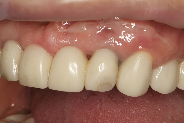
Пластика десныБыло: рецессия десны в области зубов 2.1-2.3Лечение
- Атравматичным тоннельным методом проведено закрытие рецессии десны на верхней челюсти в области зубов 2.1-2.3
Длительность лечения — 2 часа -
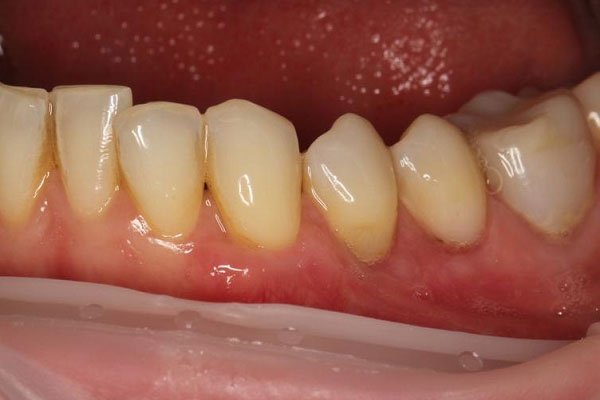
Пластика десныБыло: рецессия десны на нижней челюсти в области зубов 3.3-3.6Лечение- Атравматичным тоннельным методом проведено закрытие рецессии десны в области зубов 3.3-3.6
Длительность лечения — 2 часа -
Имплантация зубов (рентген)Было: отсутствие жевательных зубов, неудовлетворительное состояние установленных коронокЛечениеДлительность лечения — 3 часа -
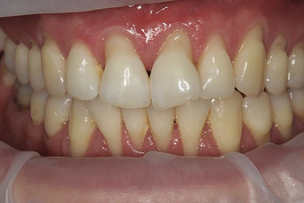
ОсновноеБыло: множественные рецессии десны на верхней челюстиЛечение- Атравматичным тоннельным методом проведено закрытие рецессии десны в области зубов 1.5-2.5
Длительность лечения — 2 часа -
Имплантация и протезирование зубовБыло: неудовлетворительная эстетика улыбки, зубные боли в ранее пролеченных зубахЛечение- Лечение зубов, санация полости рта
- Установка имплантата
- Установка виниров на передние зубы и коронок из диоксида циркония на остальные
Длительность лечения — 8 месяцев -
Эстетическая реставрация с установкой имплантатовБыло: жалобы на отсутствие жевательных зубов, неудовлетворительное состояние старых ортопедических конструкций и неудовлетворительную эстетику зоны улыбкиЛечение- Имплантация зубов
- Остеопластика
- Полное протезирование безметалловыми коронками из диоксида циркония
Длительность лечения — 9 месяцев -
Тотальная функциональная и эстетическая реабилитация улыбкиБыло: жалобы на неудовлетворительный цвет, эстетику и наклон зубов и разрушение жевательных зубовЛечение- Установка керамических вкладок
- Установка виниров
- Протезирование зубов
Длительность лечения — 1 месяц -
Протезирование зубов на верхней челюсти в зоне улыбкиБыло: жалобы на неудовлетворительную эстетику передних зубов в зоне улыбкиЛечение- Протезирование 8 передних зубов на верхней челюсти коронками
Длительность лечения — 1 месяц -
Реставрация зоны улыбки и восстановление жевательных зубовБыло: жалобы на неудовлетворительную эстетику и отсутствие жевательных зубовЛечение
- Двусторонний синуслифтинг
- Установка имплантатов
- Протезирование металлокерамическими коронками и коронками из диоксида циркония
Длительность лечения — 7 месяцев





























