Пластика десен
- Малотравматично и безболезненно
- Быстрое и эффективное устранение дефектов
- Длительный результат
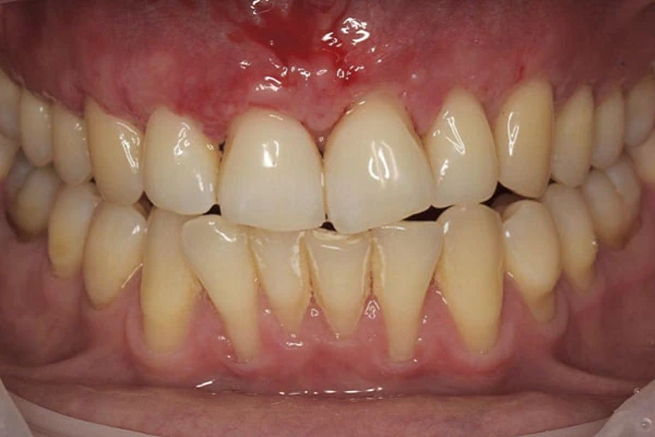
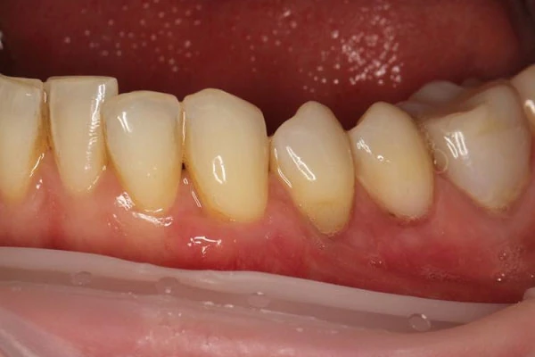
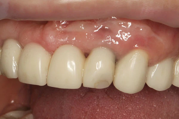
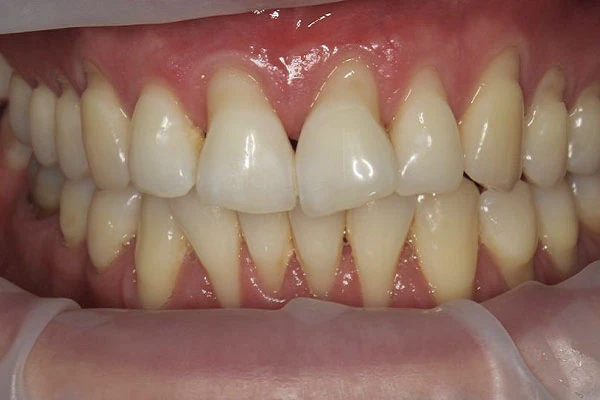
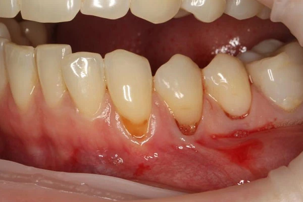
Пластика десен (гингивопластика) - хирургическая коррекция дефектов десен, восстановление и изменение десневого контура. Вмешательство проводится под местной анестезией и позволяет решить как медицинские вопросы, так и вопросы эстетики.
- рецессии (оголение корня зуба)
- недостаток мягких тканей при имплантации зуба
- наличие пародонтальных карманов
- воспаления, связанные с прорезыванием зубов
- клиновидный дефект
- неровный, несимметричный десневой контур (десна на разных зубах находится на разных уровнях)
- десневая улыбка (gummy smile, “гамми-смайл”)
- гипертрофия десны (“акулья улыбка”)
- рецессии (оголение корня зуба)
- недостаток мягких тканей при имплантации зуба
- наличие пародонтальных карманов
- воспаления, связанные с прорезыванием зубов
- клиновидный дефект
- неровный, несимметричный десневой контур (десна на разных зубах находится на разных уровнях)
- десневая улыбка (gummy smile, “гамми-смайл”)
- гипертрофия десны (“акулья улыбка”)
Над пластикой десны работает команда врачей, которая последовательно ведет пациента от этапа к этапу лечения.
в семейной стоматологии Михаила Агами
-
Понятная ценовая политикаВ цену каждой услуги уже включены все материалы и необходимые манипуляции. Цена остается неизменной на все время лечения. У нас нет скрытых платежей.
-
Индивидуальный сервисПерсональный менеджер возьмёт на себя всю заботу о процессе вашего лечения.
-
План лечения при любом обращенииНеважно, с каким случаем вы обратитесь, в результате вы получите полную информацию о состоянии полости рта и снимки.
-
Все услуги
в одном местеУ пациентов нет необходимости обращаться в другие клиники. Имеем все необходимое оборудование и команду врачей для проведения лечения.
-
У нас нет скрытых платежейВ окончательную цену входит стоимость материалов, все манипуляции и обследования.
-
Цена соответствует качествуКачественное лечение требует использования сертифицированных материалов, современного оборудования и участия высококвалифицированных специалистов. Что находит отражение в цене.
-
Фиксируем цены на всё время леченияПосле составления и подписания плана лечения цена на услуги уже не изменится в процессе.
-
Предоставляем документы для налогового вычета за лечениеВсе платежи проводятся официально и удобным для вас способом (картой, наличными, СБП). В любой момент в процессе или после лечения мы подготовим документы для налогового вычета.
-
Комплексная консультация и осмотр:
- Рентгенологические панорамный и прицельные снимки (при необходимости включены в стоимость)
- Консультация всех необходимых узких специалистов - терапевта, ортопеда, хирурга, ортодонта, пародонтолога, гнатолога
- Осмотр полости рта с подробной консультацией и постановкой диагноза
- Составление нескольких подробных вариантов планов и сметы лечения
- Компьютерная томография (КТ) 2-х челюстей (при необходимости)
-
Консультация врача-стоматолога3000 ₽
-
Консультация врача-стоматолога с проведением КТ9000 ₽
-
В цену удаления зуба включены все необходимые манипуляции:
- Анестезия
- Операция по пластике десны
- Наложение и снятие швов
- Послеоперационные осмотры
-
Коррекция десны7 600 ₽
-
Хирургическое закрытие рецессии в области 1-го зуба (тоннельный, лоскутный методы)38 000 ₽
-
Хирургическое закрытие множественных рецессий 1-го сегмента - от 4 до 6 зубов (тоннельный, лоскутный методы)75 900 ₽
-
Сложное хирургическое закрытие множественных рецессий 1-го сегмента - от 4 до 6 зубов (тоннельный, лоскутный методы)91 000 ₽
-
В цену удаления зуба включены все необходимые манипуляции:
- Анестезия
- Операция по пластике десны
- Наложение и снятие швов
- Послеоперационные осмотры
-
Создание прикрепленной десны в области 1-го имплантата7 600 ₽
-
Увеличение объема мягких тканей в области имплантата, создание зоны прикрепленной кератинизированной десны22 700 ₽

